问答

NEWS

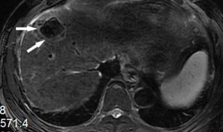
原发性肝癌是什么情况 原发性肝癌

2026-01-17 05:47 394688

一、原发性肝癌是什么情况

原发性肝癌,又叫肝癌,是肝脏细胞或肝内胆管上皮细胞发现的恶性肿瘤。肝脏发现肿瘤,可以是肝脏本身产生的,也可以是其他部位转移而来的。如果比如胃癌转移到肝脏,叫胃癌肝转移。原发性肝癌在我们最常见的是慢性肝炎导致肝硬化,发展成原发性肝癌。

原发性肝癌

二、原发性肝癌晚期症状怎么治

原发性肝癌发展到了晚期的话会出现一些恶液质状态,比如患者的肚子会出现非常鼓的现象,并且伴随有腹胀的感觉,还会出现黄疸的现象,体质状况会越来越虚弱,这个时候的治疗主要是是保守治疗为主,还有进行化疗或者是介入治疗等综合治疗的措施。

猜你喜欢

扫描二维码

手机扫一扫添加微信

010-88888888 扫描微信 99999999